Periodontics: Restore Your Smile & Protect Your Gums
If you’re dealing with gum disease, receding gums, or need advanced dental care like implants, we’re here to help. Our periodontists specialize in protecting and restoring the health of your gums and the supporting structures of your teeth. Whether it’s treating gum disease, repairing gum recession, or building a strong foundation for dental implants, our goal is to help you achieve a healthy, confident smile that lasts.
Periodontal Services
Periodontal Disease Exam
A periodontal disease exam is a comprehensive evaluation of your gum health. During the exam, we will assess the condition of your gums, measure the depth of pockets around your teeth, check for signs of gum recession, and evaluate bone health using X-rays. This exam helps identify early signs of gum disease and determine the most effective treatment plan to restore and maintain your oral health. Early detection is key to preventing tooth loss and other complications.
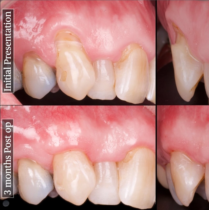
Gum Grafting/Recession
A gum graft is a procedure used to treat gum recession by restoring lost gum tissue and protecting the roots of your teeth. Tissue is either taken from your palate or a donor source and carefully placed over the affected area. This procedure not only improves the appearance of your gums but also helps reduce sensitivity and prevent further recession, ensuring long-term oral health.
Before and after a gum graft procedure.

Implant Placement
Dental implants are stable and lasting tooth replacements that mimic the look and function of a natural tooth. The procedure begins when a dental implant post is surgically secured to the jawbone. This post acts as the root of the tooth. Following the surgical implant, your surgical site needs time to recover and your jawbone needs time to bond or fuse with the dental post. The healing process usually takes a few weeks during which time a temporary crown can be installed.
After the healing period, our expert dentists attach a connector to the post before mounting the replacement tooth. Whether you’re missing a single tooth or many, we have dental implant options that can work for you.
Crown Lengthening
Crown lengthening is a surgical procedure that reshapes the gum tissue and, if necessary, the underlying bone to expose more of the tooth’s surface. This treatment is often performed to prepare a tooth for restoration, such as a crown, or to improve the aesthetics of a “gummy” smile. Crown lengthening enhances both the appearance and functionality of your teeth.
Extractions/Bone Grafting
Extractions are performed to remove severely damaged or non-restorable teeth. To preserve the jawbone and prepare the area for future dental implants, bone grafting may be done simultaneously. Bone grafting involves placing graft material into the socket to promote bone regeneration and maintain the structure of your jaw. This combination ensures a stable foundation for optimal oral health and restoration.
Peri-Implantitis
Peri-implantitis is an inflammatory condition affecting the gums and bone surrounding a dental implant. If left untreated, it can lead to bone loss and implant failure. Treatment typically involves removing bacteria and infected tissue around the implant, deep cleaning, and, in some cases, regenerative procedures to restore lost bone and support. Early intervention is essential to preserve your implant and overall oral health.
Sinus Lift
A sinus lift is a surgical procedure that adds bone to the upper jaw in the area of your molars and premolars. This is done to create enough bone height to securely place dental implants. The sinus membrane is gently lifted to make space for the bone graft material, which integrates over time. Sinus lifts are a common and effective solution for patients with bone loss in the upper jaw.
Ridge Augmentation
Ridge augmentation is a procedure designed to restore the natural contour of the jawbone that may have been lost due to tooth extraction, trauma, or bone resorption. This treatment involves placing bone graft material to rebuild and reshape the ridge, creating a stable foundation for dental implants or improving aesthetics. Ridge augmentation enhances both functionality and appearance, helping to restore your smile.
Laser Periodontal Surgery
Laser Periodontal Surgery is a procedure that uses advanced dental lasers to remove diseased gum tissue and bacteria from around the teeth. This treatment offers quicker results with less discomfort. The laser allows for precise cleaning and sterilizes as it goes. Patients see an improvement in their gum health while also experiencing faster healing and recovery time.
Frequently Asked Questions
What is a Periodontist?
A periodontist is a dental specialist focused on the prevention, diagnosis, and treatment of periodontal (gum) disease and the placement of dental implants.
When Should I See a Periodontist Instead of My Regular Dentist?
You should see a periodontist if you have advanced gum disease, gum recession, loose teeth, or require specialized procedures like bone grafts or implants.
How Do I Know if I Need Gum Surgery?
Your periodontist will assess the severity of your gum disease. Surgery may be necessary if deep cleaning (scaling and root planing) isn’t effective or if you have significant bone or gum tissue loss.
What Treatments Do Periodontists Offer?
- Periodontal disease exam
- Soft tissue graft/recession
- Implant placement
- Crown lengthening
- Extractions/bone grafting
- Peri-implantitis
- Sinus lift
- Ridge augmentation
Are Periodontal Treatments Painful?
Recovery varies by procedure but typically ranges from a few days to a couple of weeks. Your periodontist will provide specific aftercare instructions.
How Can I Prevent Gum Disease?
- Brush and floss daily
- Use antimicrobial mouthwash
- Visit your dentist regularly for cleanings and check-ups
- Avoid smoking
How Often Should I See a Periodontist?
This depends on your gum health. Patients with gum disease may need visits every 3–4 months, while others might visit less frequently.
Will My Insurance Cover Periodontal Treatments?
Coverage varies by plan, but many insurances cover a portion of periodontal procedures. We are in network with most major dental insurance providers. We also accept FSA and HSA funds. Additionally, we offer financing options to help manage treatment costs.
Meet Your Periodontist
